Because of a lapse in government funding, the information on this website may not be up to date, transactions submitted via the website may not be processed, and the agency may not be able to respond to inquiries until appropriations are enacted. The NIH Clinical Center (the research hospital of NIH) is open. For more details about its operating status, please visit cc.nih.gov. Updates regarding government operating status and resumption of normal operations can be found at opm.gov
Health Capsule
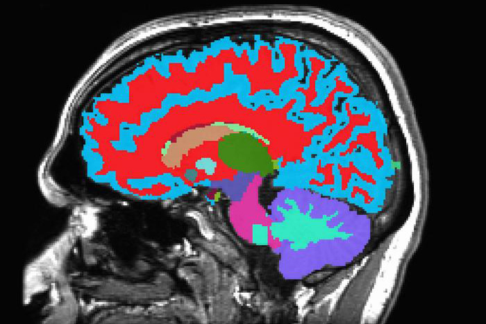
Brain Scan Measures Aging Rate
Biologically speaking, some people age faster than others. Your aging rate can affect your health and disease risks. If you knew this rate, you might be able to work with your doctor to slow the aging process. A research team developed a way to measure aging based on a single brain scan.
The team drew on their earlier studies, where they devised a way to measure biological aging using blood tests. They tracked the health of more than 1,000 people from birth to age 45 and measured 19 factors related to health. These included heart function, metabolism, disease-fighting molecules, and more. Using these, they developed a measurement called the Pace of Aging. It shows how health functions dwindle over time.
Most of the study participants also had an MRI scan at age 45. In the new study, the team combined the Pace of Aging scores with the MRI scan data. They developed a new aging measurement, called Dunedin-PACNI, based on the brain scans alone. They then tested the new tool with data collected on thousands of people from other studies.
DunedinPACNI accurately predicted how quickly a person’s ability to think and remember weakened with age. It also could predict a person’s risk of future disease and death.
“We’ve captured how fast people are aging using data collected in midlife. And it’s helping us predict diagnosis of dementia among people who are much older,” explains Dr. Ahmad Hariri of Duke University. “We really think of it as hopefully being a key new tool in forecasting and predicting risk for diseases.”
NIH Office of Communications and Public Liaison
Health and Science Publications Branch
Building 31, Room 5B52
Bethesda, MD 20892-2094
Contact Us:
nihnewsinhealth@od.nih.gov
Phone: 301-451-8224
Share Our Materials: Reprint our articles and illustrations in your own publication. Our material is not copyrighted. Please acknowledge NIH News in Health as the source and send us a copy.
For more consumer health news and information, visit health.nih.gov.
For wellness toolkits, visit www.nih.gov/wellnesstoolkits.
